Clove Dental Clinic

Dental Fillings

Dental Filling is a treatment modality to restore missing tooth structure which could have been a result of decay or trauma. Decay makes tooth hollow. Dental Filling helps to fill this gap and protect it from further decay.

Open Teeth that are Worn out

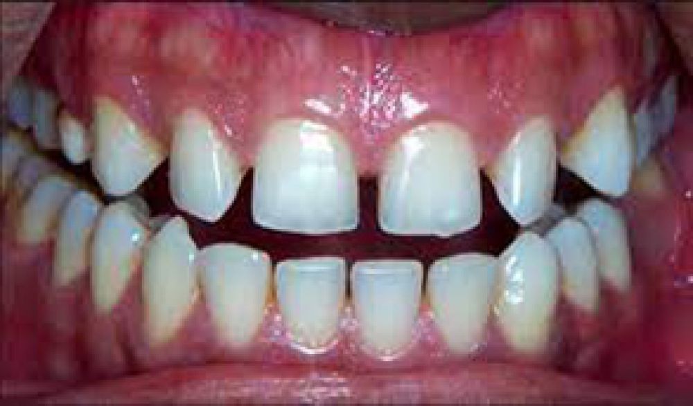
Decayed Teeth

Broken Teeth

Cracked Teeth

Types of Dental Fillings

Dental Fillings are of various types. The type of filling to be used will depend upon the condition of decay and other factors such as a person being allergic to a material. The different type of fillings available are:

Metal Filling

This old age filling is long lasting. In this type, Silver Filling is comparatively inexpensive. But gold though expensive is a preferred choice. Because they can withstand chewing forces and last usually from 10-15 years.

Amalgam Filling

These are the most researched and widely used by dental professionals since quite long now. They are made of several metals combined and therefore, they have high strength.

Composite Filling

These are of the same color as your teeth. These are preferred if a person does not want their filing to be seen. It is recommended & suitable for front teeth. It bonds well with the tooth structure. It is also used for a chipped tooth, however, does not last long as compared to metal and amalgam filling and can also wear off with time.

Porcelain / Ceramic Filling

The porcelain filling is best suited if you have serious aesthetic concerns. These cover most part of the tooth, as a result, can be used if the decay is large enough. This long-lasting filling does not stain or wear off easily.

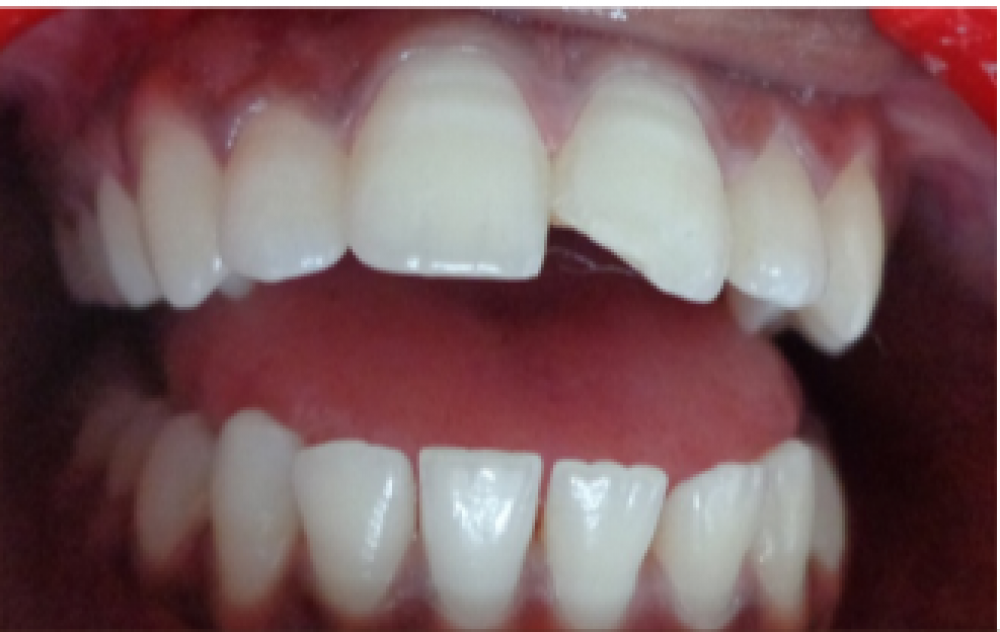
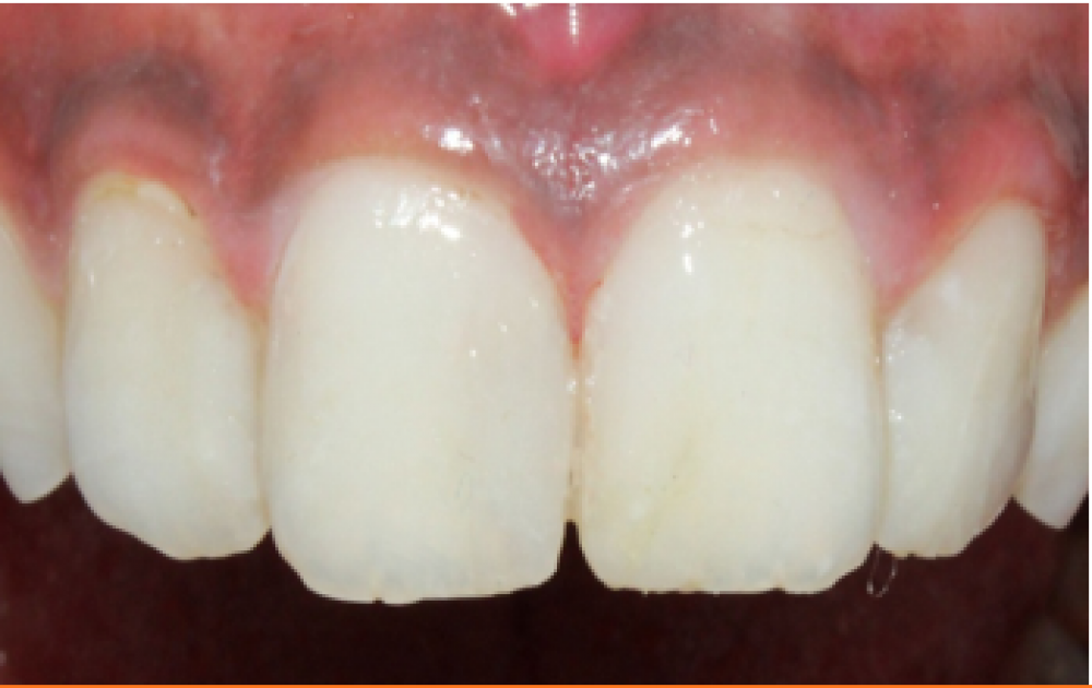
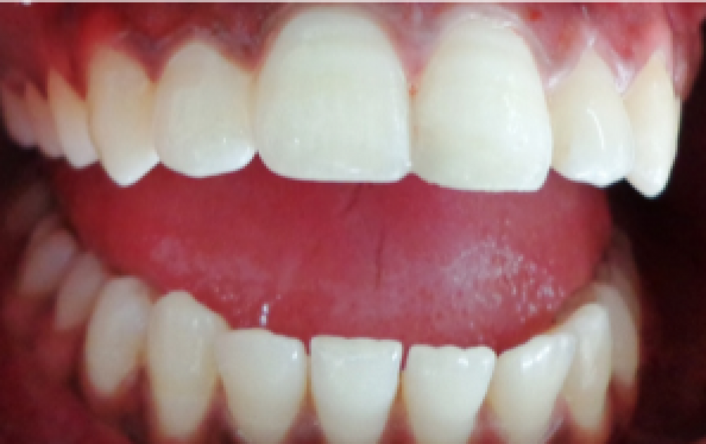
Before

After

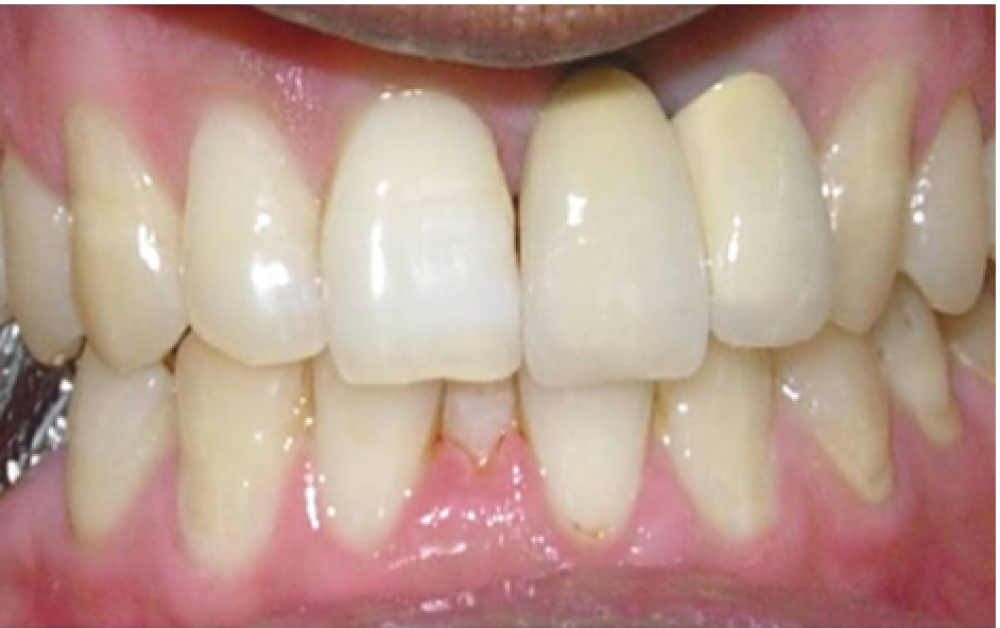
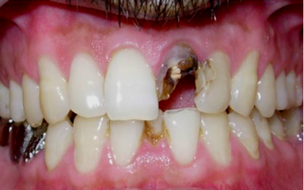
Before

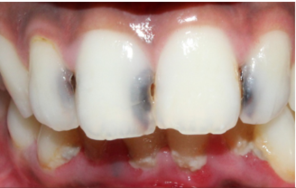
After

Before

After