Clove Dental Clinic

Advance Gum treatment

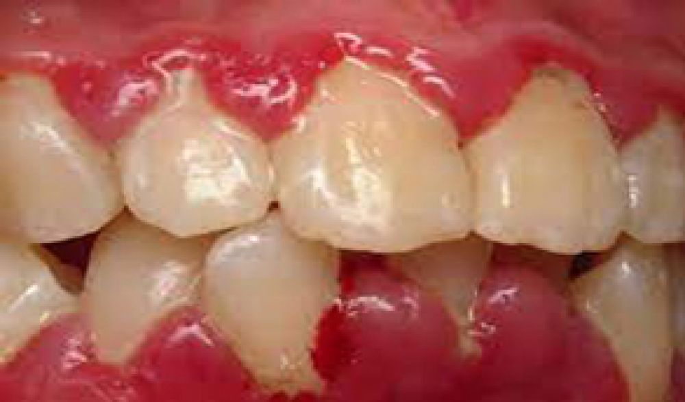
Gum disease is an inflammation of the gum line that can progress to affect the bone that surrounds and supports your teeth. Gum Disease also known as Periodontal Disease begins with bacterial growth in the mouth, the localized inflammation of the gingiva is initiated by bacteria in the dental plaque, which is a microbial biofilm that forms on the teeth and gingiva. Nearly 70% of the people are affected by this disease at some point in their life. Though such a prevalent disease most people are unaware of the issue and the problems it can cause.

CAUSES OF GUM DISEASE


The primary cause of Gum Disease is poor oral hygiene. If you are not brushing or flossing properly,
then the chances of bacteria build-up are high. However, there are other reasons as well such as:

  1.  Smoking or chewing tobacco which makes difficult for gum tissues to repair
  2.  Consuming certain medications (oral contraceptives, steroids, anticonvulsants, calcium

channel blockers, and chemotherapy) lessen saliva flow that protects teeth and gums.
Some medicines even cause the abnormal growth of gum tissue.

  1.  Crooked or misaligned teeth
  2.  Hormonal changes such as puberty, menstruation, menopause, pregnancy etc. can make

your gums sensitive and as a result prone to gum diseases.

  1.  Certain illness such as cancer and HIV make your immune system weak are at higher risk

of developing gum disease. Also, people who are diabetic are more prone to get Gum
Disease.

  1.  Genetic susceptibility such as family history can contribute to gingivitis

Before

After

Before

After