Clove Dental Clinic

Root Canal Treatment

The outer portion or Crown of a tooth is a three-layered structure namely – Enamel, Dentin & Pulp. If the tooth decay is limited to the first two layers, it can be corrected with Filling/ Restoration. In case the tooth decay reaches the third layer and causes inflammation or infection of pulp, an RCT or Endodontic Treatment is needed.

FREQUENTLY ASKED QUESTIONS

1.1.5 Q.1. Can An Infected Tooth Heal Itself?

No, an infected tooth cannot heal itself. In fact, the infection can spread to other areas of your jaw causing serious pain. Treating an infected tooth requires medications or root canal treatment. For getting an RCT, book your appointment at the nearest Clove Dental Clinic.

1.1.6 Q.2. Do Root Canals Procedures Hurt A Lot?

No, a root canal treatment is pain-free. Before proceeding with the root canal treatment, a dentist will use local anaesthesia to numb the infected area ensuring a painless treatment.

 

1.1.7 Q.3. How Long Does It Take To Heal?

Once the root canal treatment is completed, the treated tooth will heal within a few days. Patients might experience some pain once they awaken from anaesthesia; this is likely to end within a few days due to medication.

 

1.1.8 Q.4. Can One Get RCT Done In A Day?

Most root canal treatment can be successfully completed by a dentist in a single day. In certain cases of serious infection or back tooth, a dentist may give 2-3 days appointment for finishing the treatment.

 

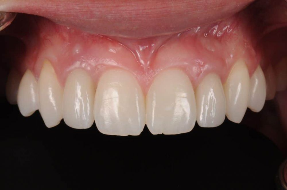
Before

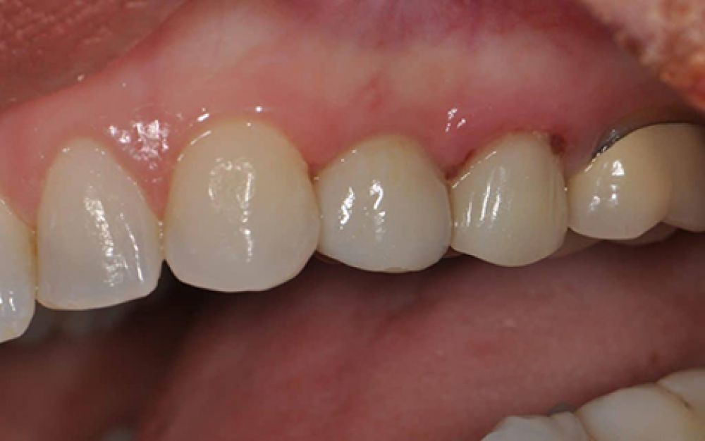
After

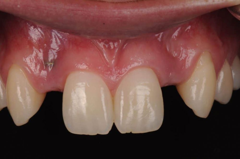
Before

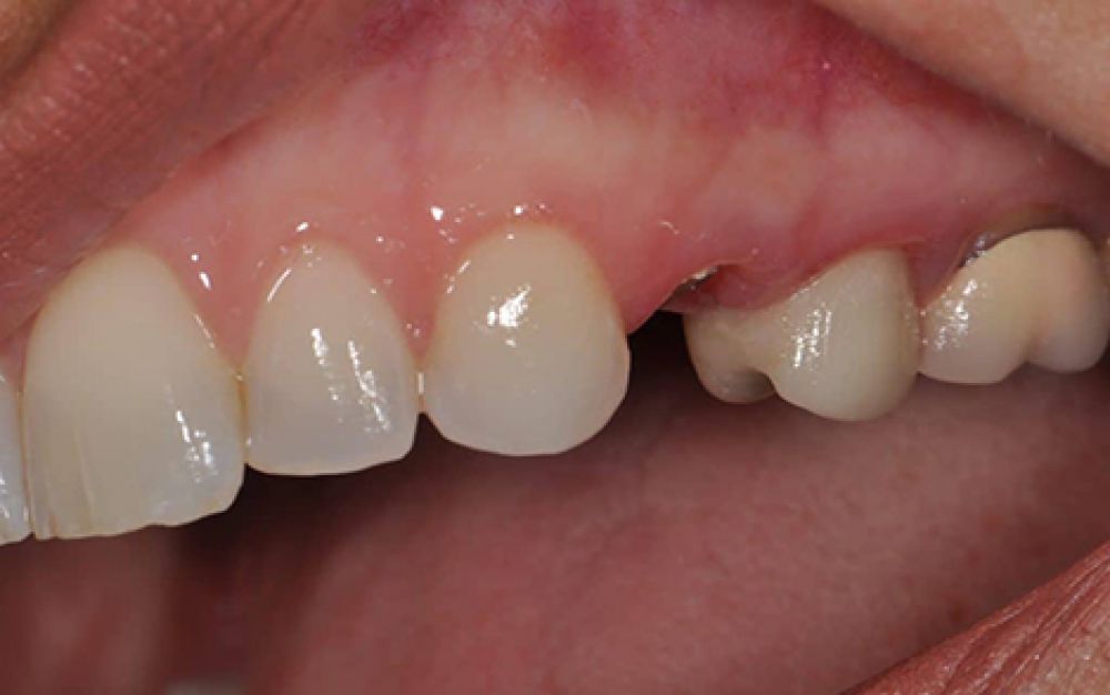
After