Clove Dental Clinic

Dentures

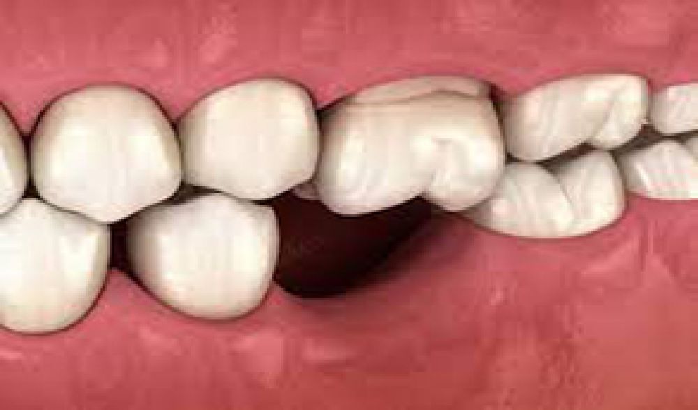
Dentures are removable appliances which are used as a replacement of missing teeth and tissues. They are the artificial teeth which enable normal functioning of human mouth. Dentures are of two types – Complete & Partial. Complete dentures are advised when all the teeth are missing, and partial dentures are applied when some natural teeth are missing. They are custom made especially for a set of teeth and gum line. Complete Dentures fit over the upper teeth and roof and on the lower teeth placed like a horseshoe. They are conventional dentures and are removed during the night for cleaning. Partial Dentures consists of replaced missing teeth attached to artificial gum connected by a metal framework which helps to hold the denture in place. Missing teeth can change the position of other teeth hence partial denture help to overcome this problem and keep the teeth intact.

Dental Crowns are a tooth-shaped cap which is placed on the tooth to restore the shape, size, and
appearance of the tooth. It also enhances the strength of the tooth. If the major part of the tooth is
missing, then the crown is the best solution for it. By placing the crown, a tooth can function normally
again.

 

A. WHAT ARE VARIOUS TYPES OF DENTAL CROWNS?


Dental Crowns can be made in variety come in various materials such as:
1.1.12 Metal Crowns
1.1.13 Porcelain-Fused-To-Metal
1.1.14 Ceramic Crown

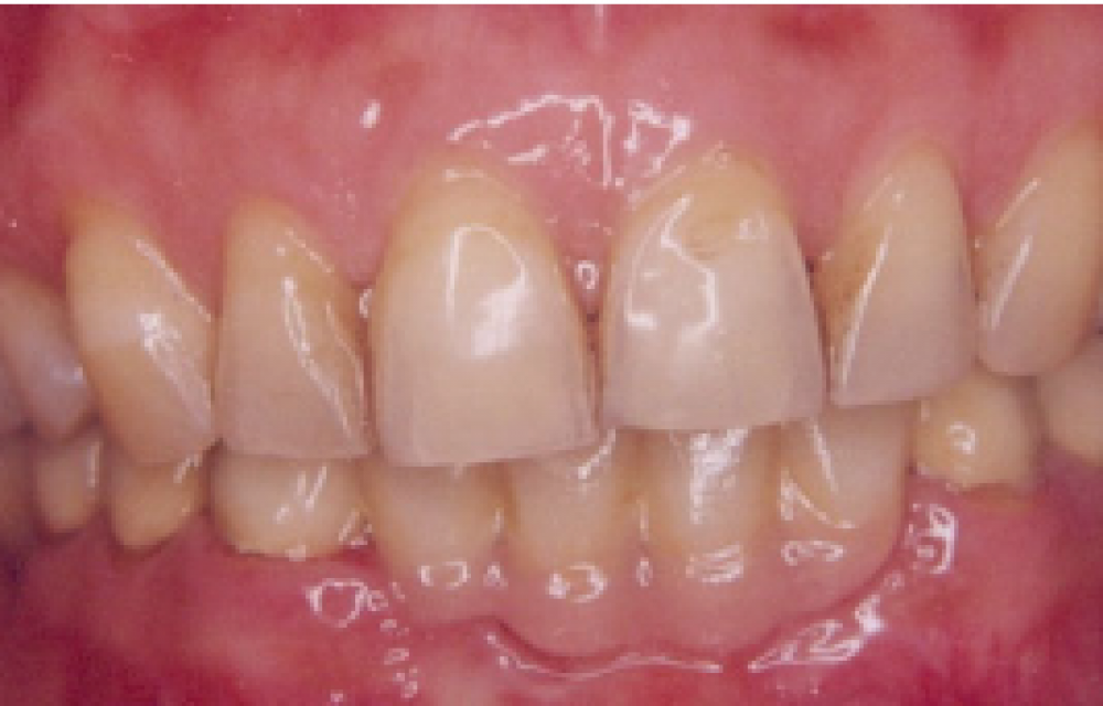
Before

After

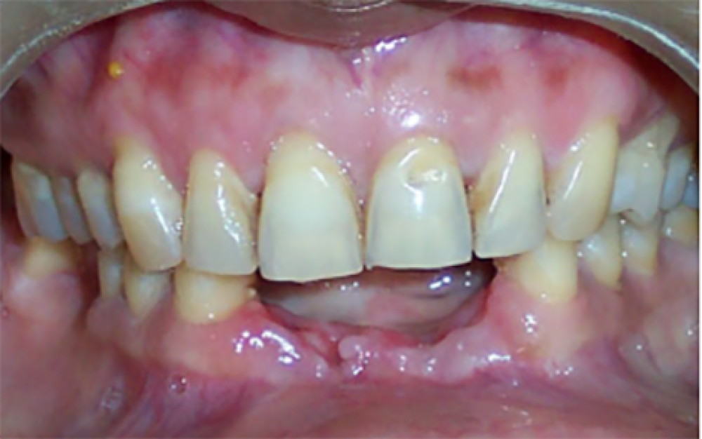
Before

After