Clove Dental Clinic

Kids Dentistry

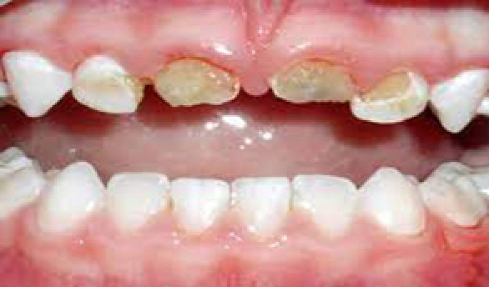
Humans start teething when they are as young as 6 months old and develop their set of primary ‘milk’ teeth. At the age of 6-7 years, humans start losing their milk teeth and the permanent set of teeth start emerging. Because the milk teeth will eventually fall off, some parents tend to ignore taking their child to a dentist. However, these milk teeth form the basis of developing permanent teeth. If proper care is not taken the problems can emerge which will last a lifetime. In recent years the cases of caries in children have grown manifold. Therefore, it is always advised to start taking care of your baby’s teeth in the very early stages of their life. This includes setting Oral Hygiene routine and regular visits to pediatric dentist.